Google+ FFあんてな: 無慈悲な毒手

2017年5月1日月曜日

無慈悲な毒手

コンバンヌ! ジェミです。
現在、右手の骨が折れているため、左手のみのタイピングです。
結構きついのですが、完治まで二ヶ月くらい。
いかんともしがたいので、慣れていこうと思います。



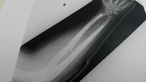
前回の記事でもお伝えしましたが、右手の骨が砕け散りました;
吹っ飛んで地面への当たりどころが悪く……。
救急車で病院に運ばれました。

201704300001

もうそのまま入院に。
次の日に全身麻酔で手術をすることに。
痛いし心細いしで大変でした。

201704300002

とにかく腫れが酷く、冷却装置を装備。
ずっと冷やしてました。
※実は今も熱を持ってます。

201704300003

血が滲んでるのが手術跡の一つ。
パンパンに腫れてますが、手術は無事成功!!
腕にかなり長いチタンの棒が二本入りました。

201704300004

くじけそうでしたが、ギリギリのとこで耐えてはいます。
TwitterやDiscordで沢山の励ましの言葉を頂きました。
皆様には感謝感謝です。

201704300005

分かりづらいですが、術後はこんな感じ。
上も下も折れてますが、下は合わせてもらってます。

201704300006

上の骨が損傷激しいので、超音波治療器を渡されました。
超音波を当てて、骨の治癒力を高めるというロストテクノロジー!

201704300007

現状自宅療養中ですが、まだ痛くて何もできず;
時たま熱もでますし、安静にしてますね;



留守の間、何回か両親に見てはもらいましたが……。
うちの金魚たちが気になってました。

201704300008

ブスコパンはちゃんと元気でした!!!
健康体! さすが金魚は強いなあ。

201704300009

モルヒネとコカインも元気でしたが……。

201704300010

なんと、いつの間にかベビーが6匹ほど誕生!!
スクスク育っております。
隔離した方がいいのですが、私が動けないので考え中……。

201704300011

レッドラムズホーンは爆殖中。
ちょい増え過ぎなので間引かないと……。
近隣にお住まいの方に差し上げたいくらいです。



何だかんだで、FF14に少しインしてみました。

201704300012

久しぶりに地雷をセットします。

201704300013

地雷処理班に速攻除去されました。

201704300014

さすが容赦ないぜ!!!!!
そして横を見ると……。

201704300015

ダイナマイト……ッ!!

201704300016

美味しいらしい( ゜ω゜)



【たかしくんとは】

201704300017

難しいなその問題!
リンゴとみかんのくだりは何。

201704300018

たかしは死んだ! もういない!!
だけど俺のこの手にこの胸に! 一つになって生き続ける!!



ジェミは順調に回復しています。

201704300019

悪魔の所業(デブる)

201704300020

まさに野獣!!



ユフィさんは風邪を引いているようです。

201704300021

何で。



【ジェミ vs ラムウ】

事故前に、ラムウ戦に行ってきました。

201704300022

悪魔が行く。

201704300023
201704300024

普段着だったので慌てて着替えます。
※それでも6000くらい。

201704300025
201704300026

FF10よねそれ。
平原でやる苦行だ。

201704300027

目的を見失っている様子をお楽しみください。

201704300028

そして……!!!

201704300029

おじいちゃんがブチギレて襲い掛かってきました!!

201704300030

そりゃ勝てるだろうけども。

201704300031

ひどいことをされながら戦闘開始!!!
※結局事前に何も教えてもらえなかった。

201704300032

結構強い!!!
しかしお肉メンバーの物量が老体をむち打ちます。

201704300033
201704300034

何でそういうことするのwww

201704300035

倒しました。
普通に倒せた。

201704300036

終わったあと教えてもらいましたよ!!

201704300037
201704300038
201704300039

ストーリー攻略はしばらくお休み!!
ジェミはイシュガルドに着けるのでしょうか……!!!



コーンバッハさんから頂いたTwitterアイコン……。
入院中何故かそのコラ画像がブームに!!!
たくさん頂いているので、数点ご紹介!!!

201704300040

キン肉マンよね。

201704300041

何かアダマンチウムを移植され、毒手を搭載したことに。
無慈悲な毒手

201704300042

北斗の拳の世界線にも!!!
頭でかくない?

201704300043

そして丁度誕生日だったので、お祝い画像も!!
一瞬何だかわからんかったよ!!!

201704300044

退院祝も!!!!
毒手はそのままなのね。

201704300045

ここまで来ると笑うしかないwwwww
コラ画像は「#ジェミコラ」で確認できるよ!!



   


more info at FF14ほうせき箱